Soins parodontaux

Soins parodontaux


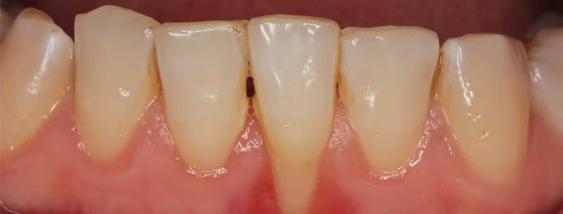
Close-up of human lower teeth and inflamed gums showing signs of periodontal disease for clinical dental care education

Formation professionnelle

2 results

Présentation de Pro Argin, une technologie révolutionnaire à base d'arginine et de carbonate de calcium pour le traitement en cabinet de l'hypersensibilité dentinaire.

A Breakthrough Technology Based upon Arginine and Calcium Carbonate for In-Office Treatment of Dentin Hypersensitivity.

Read More

Évaluation clinique de l'efficacité d'une pâte désensibilisante contenant de l'arginine et du carbonate de calcium pour le soulagement en cabinet de l'hypersensibilité dentinaire associée au nettoyage dentaire prophylactique

Learn how Pro-ArginTM/MC Technology is clinically proven to work prior to a dental procedure.

Read More